زندگی طولانی مدت در فضا تأثیر باورنکردنی روی ساختار مغز می‌گذارد

سه‌شنبه 23 آبان 1396 - 19:45
مطالعه 5 دقیقه
محققان بر اساس آزمایش‌های انجام‌شده، نشان‌ دادند که زندگی و اقامت طولانی‌مدت در فضا اثرات منفی روی ساختار مغز دارد که باعث فشار به مغز می‌شود.
تبلیغات

سفرهای امروزی به ایستگاه فضایی بین‌المللی (ISS)، چندان آسان نیست. فضانوردان باید آمادگی کامل برای آموزش جسمی، روانی و علمی داشته باشند. درحالی‌که این سفرها می‌‌توانند تأثیر مخربی بر فضانوردان داشته باشند، سفرهای برنامه‌‌ریزی‌شده به مریخ و سایر مأموریت‌های طولانی‌مدت، می‌‌تواند پیامدهای ناگواری داشته باشند؛ به همین دلیل محققان در حال بررسی اثرات سفرهای فضایی بر مغز هستند. در سال‌های گذشته، پژوهش‌های زیادی روی بدن انسان و زندگی در فضا صورت گرفته است که سؤال‌های زیادی در ذهن ما ایجاد می‌کند. یکی از این مهم‌ترین سؤال‌ها، تأثیر گرانش صفر بر بدن انسان است.

بدن انسان برای زندگی در زمین سازگار است نه در گرانش صفر. تحقیق‌های جدید؛ چگونگی تأثیر، عواقب و راه‌های مقابله با آن را تعیین کرده است. چند ماه گذشته با آزمایش‌هایی که محققان روی بدن فضانوردان اسکات کلی و پگی ویتسون انجام دادند، مشخص شد که بی‌وزنی طولانی‌مدت در فضا عوارض جبران‌ناپذیری به همراه دارد؛ اما چه عاملی باعث بروز این مشکلات و تغییرات می‌شود؟ این فضانوردان دچار تاری دید بودند و تحقیقات بیشتر، مشکلات ساختاری مانند تختی پشت کاسه چشم و التهاب عصب اپتیک را آشکار کرد. دانشمندان قبل از این تصور می‌کردند که دلیل اصلی این مشکل در تغییر خون ورودی به نقاط فوقانی بدن است.

اسکات کلی / Scott Kelly

اما در تحقیق جدید دلیل دیگری برای این مشکل پیدا شد. کار مایع مغزی- نخاعی ایجاد فضای کافی در تغییرات فشار هیدروستاتیکی است؛ مانند وقتی که از زمین بلند می‌شویم. اما در جاذبه کم این سیستم دچار اختلال می‌شود. 

در اقامت‌ها طولانی‌مدت فضا، فضانوردان دچار آسیب بینایی و فشار درون‌جمجمه‌ای می‌شوند

یکی از عوارض معمول سفر به فضا، مشکلات بینایی است. این مشکلات فقط مربوط به سفرهای طولانی‌مدت نیست؛ بلکه برخی فضانوردان در سفرهای کوتاه‌مدت مشکلات بینایی را تجربه کرده‌اند که بعد از اتمام سفر فضایی نیز ادامه داشته است. بر اساس تحقیقات رادیولوژی آمریکای مرکزی در سال گذشته، فضانوردانی که اقامت‌ طولانی‌مدت در فضا داشتند، به‌ دلیل افزایش حجم مایعات اطراف مغز و نخاع دچار اختلال بینایی می‌شوند. در دهه‌ی گذشته، دانشمندان و جراحان ناسا، الگویی در فضانوردانی که به مأموریت‌های طولانی می‌رفتند، مشاهده کردند.

ناسا این وضعیت را آسیب بینایی و فشار درون جمجمه‌ای (VIIP) نامیده است؛ زیرا این امر در نتیجه‌ی تغییرات فشار در مغز و مایع نخاعی، به دلیل نبود جاذبه به وجود می‌آید. رابرتز در آزمایشی از شرکت‌کنندگان درخواست کرد تا به مدت ۹۰ روز در تخت بمانند. دونا رابرتز، محقق و نورورادیولوژیست، پژوهشی در این رابطه انجام داده است. او برای شبیه‌سازی اثرات عدم گرانش بر مغز انسان، سر شرکت‌کنندگان را به سمت پایین قرار داد. در این آزمایش جاذبه زمین تا نزدیک به صفر پایین آورده شد. رابرتز سپس با استفاده از fMRI به بررسی آنچه در مغز این افراد اتفاق می‌افتد پرداخت که نتایج آن بسیار جالب بود.

در روش fMRI یا تصویرسازی تشدید مغناطیسی کارکردی، تصاویری متناوب از مغز در موقع استراحت و فعالیت، گرفته می‌شود. سپس این تصاویر به‌طور دیجیتال از یکدیگر تفریق می‌شوند. نتیجه‌ی به‌دست‌آمده، عملکرد مغز در اثر تغییرات جریان خونی از نظر فیزیولوژیکی را نشان می‌دهد. یکی از مراحل اولیه‌ی نتایج به‌دست‌آمده از تحقیقات رابرتز، افزایش تراکم در بخش بالایی مغز بود که شرکت‌کنندگان هر چه بیشتر در این موقعیت قرار داشتند، شرایطشان وخیم‌تر می‌شد. در مرحله‌ی دوم، وضعیت مغز شرکت‌کنندگان تغییر می‌کرد و فضای بین بالای مغز و جمجمه کاهش می‌یافت. 

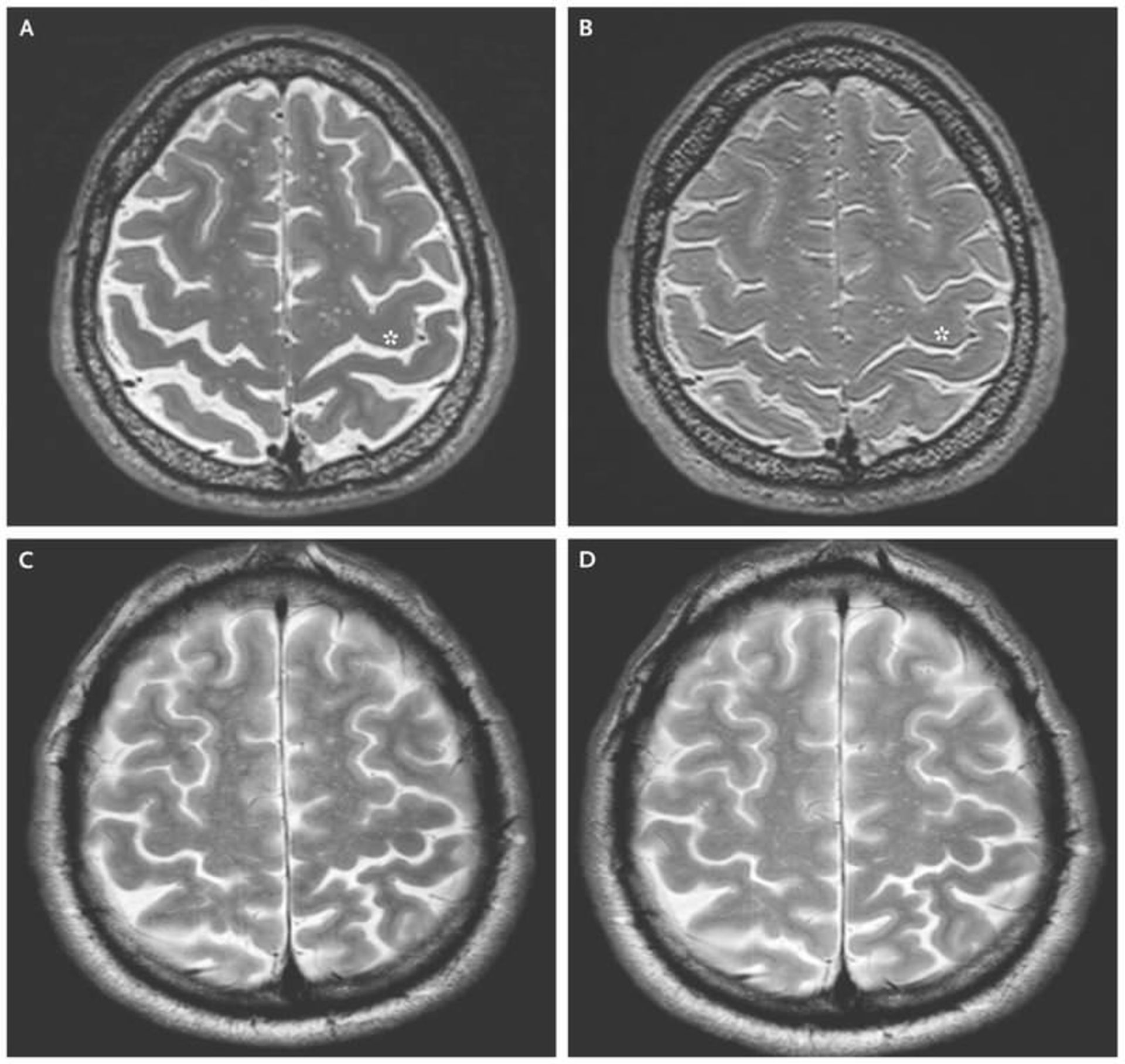
اسکن مغز شرکت‌کنندگان نشان می‌دهد که فضای بین بالای مغز و جمجمه، همانند فضانوردان کاهش پیدا می‌کند

ناسا مطالعه‌ی دیگری در این مورد انجام داده است. ۳۴ فضانورد که در مأموریت‌های فضایی طولانی‌مدت و کوتاه‌مدت ISS یا سفرهای کوتاه‌مدت شاتل فضایی شرکت داشتند، بررسی شدند. مغز هر شخص در مدت کوتاهی قبل و بعد از مأموریت‌ با تکنولوژی fMRI اسکن شد. از ۱۸ فضانورد ISS که به‌عنوان ساکنین طولانی‌مدت فضا طبقه‌بندی شده بودند، ۱۷ نفر علائم تنگ شدن قشر مرکزی مغز نشان دادند. این اتفاق فقط در سه نفر از ساکنین کوتاه‌مدت مشاهده شد. این قشر،  مناطقی از مغز را که مسئول کنترل حرکتی هستند از مناطق مربوط به گیرنده‌های حسی جدا می‌کند.

اسکن مغز فضانوردان / Astronauts Brain Scan

اما رابرتز برای اینکه متوجه شود این اثرات در فضانوردان هم اتفاق افتاده است یا خیر، تصاویر مغز شرکت‌کنندگان را با اسکن‌های مغزی فضانوردان که در موقعیت‌های مختلف گرفته شده بود، مقایسه کرد. در این مقایسه، فضانوردان هم تنگ شدن قشر مرکزی را تجربه می‌کنند؛ بخشی در بالای مغز که لوب‌های پیشانی و لوب‌های آهیانه‌‌ای را از یکدیگر جدا می‌کند. ۹۴ درصد از فضانوردان که سفرهای طولانی‌مدت را سپری کرده‌اند، در این وضعیت بودند و کمتر از ۲۰ درصد از فضانوردانی که از پروازهای فضایی کوتاه‌مدت بازگشته بودند نیز این علائم را نشان دادند.

در ۱۲ نفر از فضانوردانی که حضور طولانی‌مدت در فضا داشتند، مغز، حرکتی کلی به سمت بالای جمجمه داشت. همچنین کانال‌های مغزی-نخاعی در بالای جمجمه‌ی ۱۲ نفر از این فضانوردان ‌و یک نفر از فضانوردانی که حضور کوتاه‌مدت داشتند، کوچک شده بود. دانشمندان هنوز مطمئن نیستند این باریک شدن چه تأثیری دارد، آیا مانع از جریان مایع مغزی-نخاعی می‌شود یا بافت‌های اطراف را تحت فشار قرار می‌دهد؟ یک راه حل مناسب برای کاهش اثرات زندگی در فضا روی مغز و همچنین از بین بردن علائم VIIP، این است که مایع نخاعی را که از فشار موجود تولید می‌شود، خارج کرد. اما در حال حاضر، هیچ روشی برای انجام این کار پیچیده‌ای در فضا وجود ندارد.

زندگی در حالت بی‌وزنی باعث می‌‌شود عضلات و استخوان‌ها تحلیل بروند، میزان تولید گلبول قرمز در بدن کاهش یابد و بیماری‌‌های قلبی و عروقی زیادی ایجاد شود. همچنین این بی‌وزنی بر سیستم ایمنی فرد تأثیر منفی می‌گذارد و سبب می‌شود تعادل و بینایی فرد به خطر بیافتد.

سیکل خواب شبانه‌روزی به هم می‌ریزد و ممکن است همیشه حالت تهوع ایجاد شود. با این همه مشکلات اقامت در فضا، آیا سفرهای طولانی‌مدت به مریخ ممکن است؟ سفر فضایی هنوز در مراحل ابتدایی است و در اولین مرحله باید مشکلات آن را از میان برداریم.

نظرات