راز مغز؛ چگونه پیچیده‌ترین عضو بدن با وجود از دست‌دادن بخشی از خود، عملکردش را حفظ می‌کند؟

شنبه 27 فروردین 1401 - 22:30
مطالعه 8 دقیقه
مورد زنی که تکه‌ای از مغزش را در کودکی از دست داده؛ اما از توانایی‌های زبانی خیره‌کننده‌ای بهره‌مند است، انعطاف‌پذیری بسیار زیاد این عضو پیچیده را نشان می‌دهد.
تبلیغات

در اوایل فوریه ۲۰۱۶، پس از خواندن مقاله‌ای از چند دانشمند مؤسسه فناوری ماساچوست که نحوه واکنش مغز دربرابر موسیقی را مطالعه می‌کردند، زنی علاقه‌مند شد تا به آن‌ها ایمیل بزند. او به آن‌ها گفت: «من مغز جالبی دارم.»

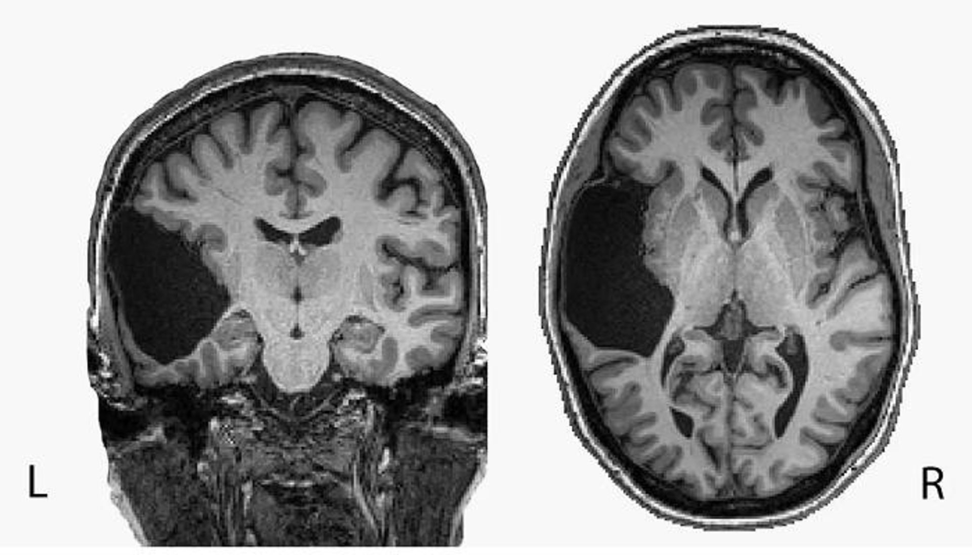
این زن که خواسته نامش فاش نشود و با اشاره به حروف اول نامش او را «ای جی» می‌خوانیم، لوب گیجگاهی چپ مغز خود را از دست داده بود. لوب گیجگاهی چپ بخشی از مغز است که تصور می‌شود در پردازش زبان نقش داشته باشد.

اگرچه ای‌جی برای آنچه دانشمندان در حال مطالعه آن بودند، مناسب نبود؛ بنابراین، آن‌ها او را به اولینا فدورنکو، عصب‌شناس شناختی ارجاع دادند که او نیز در مؤسسه فناوری ماساچوست مشغول به کار است؛ اما زبان را مطالعه می‌کند. این آغاز رابطه‌ای پربار بود. اولین مقاله براساس بررسی مغز ای‌جی اخیراً در مجله Neuropsychologia منتشر شد و گروه فدورنکو پیش‌بینی می‌کنند که چند مقاله دیگر هم منتشر کنند.

ای جی در دهه ششم زندگی خود است و در ایالت کنتیکت بزرگ شده است. از دست دادن تکه بزرگی از مغز تأثیر کمی بر زندگی او داشته است. او دارای مدرک دانشگاهی است، شغلی قابل‌توجه دارد و زبان روسی را بسیار خوب صحبت می‌کند.

ای‌جی برای اولین‌بار در پاییز سال ۱۹۸۷ در بیمارستان جرج واشینگتن متوجه شد که مغزش غیرعادی است. در آن زمان، او مغز خود را به دلیل دیگری اسکن کرد. علت این امر احتمالاً سکته‌ای بود که در دوران کودکی او اتفاق افتاده بود. امروزه، فقط مایع مغزی‌نخاعی در آن ناحیه از مغز او وجود دارد.

در چند سال اولیه که ای‌جی متوجه این مسئله شده بود، به‌جز والدین و دو نفر از دوستان نزدیکش، به افراد دیگر درباره آن چیزی نگفته بود. او می‌گوید: «این مرا ترساند.» از آن زمان، او این موضوع را به افراد بیشتری گفته است؛ اما هنوز افراد کمی از آناتومی منحصر‌به‌فرد مغز او خبر دارند.

ای‌جی می‌گوید در طول سال‌ها پزشکان بارها به او گفته‌اند که مغز او غیرمعقول است. یکی از پزشکان به او گفته بود که او باید تشنج داشته باشد یا نباید دایره لغات خوبی داشته باشد. (آزمایش‌های انجام‌شده در مؤسسه فناوری ماساچوست نشان‌دهنده توانایی بالای او ازنظر لغات بود). ای‌جی می‌گوید: «آن‌ها بدون تحقیق و بررسی درباره من نتیجه‌گیری‌های زیادی می‌کردند و من خیلی ناراحت می‌شدم.»

سپس ای جی با فدورنکو ملاقات کرد. او به یاد می‌آورد: «او هیچ پیش‌داوری درباره توانایی‌های من نداشت.» برای فدورنکو، فرصتی برای مطالعه مغزی مانند مغز ای‌جی رویایی است که هر دانشمندی ممکن است داشته باشد. ای‌جی به‌شدت تمایل داشت تا در مطالعات کمک کند.

آزمایشگاه فدورنکو روی توسعه مناطق مختلف مغز که تصور می‌شود در یادگیری و درک زبان نقش دارند، کار می‌کند. نقش دقیق هریک هنوز مشخص نشده است و مطالعه دقیق این موضوع که چگونه این سیستم پدیدار می‌شود، دشوار است. فدورنکو می‌گوید: «ما اطلاعات بسیار کمی درباره نحوه توسعه این سیستم داریم؛ زیرا برای انجام این کار نیاز به اسکن مغز کودکان ۱ تا ۳ ساله‌ای داریم که توانایی‌های زبانی آن‌ها در حال رشد است. ما ابزارهایی برای اینکه در آن زمان مغز کودکان را کاوش کنیم، نداریم.»

وقتی ای جی به آزمایشگاه فدورنکو آمد، فدورنکو متوجه شد فرصتی طلایی برای درک این مسئله به دست آورده است که چگونه بافت باقیمانده مغز او وظایف شناختی را مجددا سازماندهی کرده است. او می‌گوید، این فرصتی منحصر‌به‌فرد برای پرداختن به چنین سوالی است. خیلی کم پیش می‌آید فردی مانند ای‌جی با دانشمندان همکاری کند تا او را مطالعه کنند.

برای بیشتر مردم، قسمت اعظم وظیفه پردازش زبان در نیمکره چپ مغز انجام می‌شود. برای برخی، این وظیفه به‌طور برابر بین دو نیمکره تقسیم می‌شود و به‌ندرت، نیمکره راست بیشتر این وظیفه را برعهده می‌گیرد. گرتا تاکوت، دانشجوی دکتری در آزمایشگاه فدورنکو و نویسنده نخست مقاله می‌گوید: «دانشمندان کاملاً مطمئن نیستند که چرا؛ اما اگر چپ‌دست باشید، به‌نظر می‌رسد سیستم زبانی شما در نیمکره چپ سازماندهی پیدا کند.»

پردازش زبان تا حد زیادی در دو بخش اصلی مغز اتفاق می‌افتد: مناطق پیشانی و گیجگاهی. لوب‌های گیجگاهی ابتدا توسعه پیدا می‌کنند و سپس نواحی پیشانی دیرتر و در حدود پنج سالگی توسعه می‌یابند. در این مرحله، شبکه زبان کاملاً بالغ درنظر گرفته می‌شود. ازآن‌جا که لوب گیجگاهی چپ ای‌جی وجود ندارد، تیم فدورنکو فرصتی برای پاسخ به سوالی جالب داشت: آیا مناطق گیجگاهی پیش‌نیاز ایجاد نواحی زبانی پیشانی هستند؟

پژوهشگران در اولین مقاله خود براساس مطالعه مغز ای جی می‌خواستند بدانند که آیا در لوب پیشانی چپ سالم او فعالیت زبانی دیده می‌شود. اگر این اتفاق می‌افتاد، نشان می‌داد که نواحی زبانی پیشانی می‌توانند بدون نیاز به لوب گیجگاهی ظاهر شوند؛ اما اگر چنین اتفاقی رخ نمی‌داد، نشان می‌داد نواحی زبانی گیجگاهی برای پیدایش نواحی زبانی پیشانی ضروری هستند.

پژوهشگران از تصویرسازی تشدید مغناطیسی کارکردی (fMRI) برای ثبت فعالیت مغز ای‌جی وقتی که داشت وظایف مرتبط با کلمات مانند خواندن جملات را انجام می‌داد، استفاده کردند. وقتی او این کار را انجام می‌داد، آن‌ها به‌دنبال شواهدی از فعالیت زبانی در لوب پیشانی چپ او بودند.

آن‌ها سپس فعالیت مغز او را را با داده‌های حدود ۹۰ کنترل مقایسه کردند که لوب گیجگاهی چپ آن‌ها سالم بود. درنهایت، آن‌ها چیزی پیدا نکردند، بنابراین به این نتیجه رسیدند که به‌نظر می‌رسد پیدایش نواحی زبانی گیجگاهی برای پیدایش نواحی زبانی پیشانی ضروری باشد.

با‌این‌حال، آن‌ها دریافتند که قشر پیشانی چپ ای جی قادر به حمایت از عملکردهای شناختی سطح بالا است. پژوهشگران این موضوع را با مشاهده نحوه فعالیت مغز او حین انجام وظایف ریاضی تأیید کردند. آن‌ها به این نتیجه رسیدند که در غیاب لوب گیجگاهی چپ، به‌نظر می‌رسد وظیفه پردازش زبان به نیمکره سمت راست او محول شده باشد. به‌نظر می‌رسد یک نیمکره برای دادن مهارت‌های زبانی خوب به او کافی بوده است.

اسکن مغز ای جی / brain scan

تصویر MRI از مغز ای‌جی

این موضوع که منحصر‌به‌فرد بودن مغز ای‌جی تأثیر بسیار کمی بر زندگی روزمره او دارد، نشان می‌دهد که تکه‌های بزرگ مغز تا حه می‌تواند کنارگذاشتنی باشد. فدورنکو به رویه جراحی به نام نیمکره‌برداری یا همیسفرکتومی اشاره می‌کند که برای کودکان مبتلا به صرع که به دارو پاسخ نمی‌دهند، استفاده می‌شود. این عمل مستلزم برداشتن نیمی از مغز است که تشنج‌ها در آن رخ می‌دهد و نشان داده شده است که این کودکان توانایی شناختی معمول خود را حفظ می‌کنند.

فدورنکو می‌گوید: «اگر بتوانید نیمی از مغز را حذف کنید و با‌این‌حال، به‌خوبی عمل کنید، می‌توان گفت قطعه‌های زیادی در مغز ما وجود دارند که زائد هستند. ظاهراً چیزهای زیادی در مغز ما وجود دارد که کاملاً زائد هستند. این روش ازنظر مهندسی، راه بسیار خوبی برای ساخت یک سیستم است.»

واقعیت این است که اگر مغز آسیب ببیند، اغلب راهی برای سازماندهی مجدد ارتباطات عصبی خود پیدا می‌کند. این چیزی است که الا استریم آمیت، دانشمند متخصص در زمینه عصب‌شناسی شناختی در دانشگاه جرج تاون به‌خوبی آن را درک می‌کند.

او مطالعه می‌کند که چگونه مغز در غیاب برخی حواس خود را مجددا سازماندهی می‌کند (مثلا در افرادی که نابینا یا ناشنوا متولد می‌شوند). او می‌گوید: «نکته قابل‌توجه درباره این بیمار و بیماران دیگری که تکه‌های بزرگی از مغز خود را در بدو تولد از دست می‌دهند، این است که چقدر خوب می‌توانند این فقدان را جبران کنند.»

اگر این ناهنجاری در کودکی ایجاد شود، یعنی زمانی که انعطاف‌پذیری عصبی بیشتر است، بخش دیگری از مغز معمولاً با ایجاد ارتباطات عصبی جدیدی که آن وظیفه را برعده می‌گیرند، عملکرد تکه از دست رفته را جبران می‌کند. استریم آمیت می‌گوید: «پژوهش‌های زیادی نشان می‌دهند که مغز در اوایل زندگی بسیار انعطاف‌پذیرتر است.»

نتیجه‌گیری از مشاهدات یک شخص ممکن است شتاب‌آمیز به‌نظر برسد. در سال‌های اخیر، مطالعه روی افراد شهرت خوبی نداشته است؛ زیرا مطالعات کوچک می‌تواند نتایج تصادفی حاصل کند. حرکت گسترده‌ای در پژوهش‌ها به سمت انجام پژوهش‌های بزرگ‌تر در جریان است؛ اما مطالعات موردی پایه و اساس علوم اعصاب مدرن را بنا نهاده‌اند.

مثال‌های معروفی مانند بیمار بروکا را درنظر بگیرید که در سال ۱۸۶۱ به دانشمندان آموخت که کدام بخش از مغز تولید گفتار را کنترل می‌کند یا بیمار اچ‌ام که مغز او معمای چگونه سازماندهی خاطرات در مغز را حل کرد. شاید مشهورترین آن‌ها فینیاس گیج بود؛ کارگر راه‌آهنی که در سال ۱۸۴۸ میله‌ای آهنی در سرش فرو رفت و شخصیتش که پس از این آسیب تغییر کرد، برای اولین بار نشان داد برخی از عملکردها با مناطق خاصی از مغز در ارتباط هستند.

استریم آمیت می‌گوید: «همه اکتشافاتی که منجر به درک ما از مغز شده است، با مطالعات موردی آغاز شده است. بدون این موارد استثنایی و منحصربه‌فرد نمی‌توانستیم درباره علیت این پدیده‌ها نتیجه‌گیری کنیم.»

فدورنکو استدلال می‌کند مطالعه موردی اگر با دقت انجام شود، مانند مورد ای‌جی می‌تواند دانش زیادی دراختیار پژوهشگران قرار دهد. او می‌گوید: «می‌توانیم حجم زیادی از اطلاعات را از مواردی که در آن چیزی کمی متفاوت است، به دست آوریم.»

استریم آمیت می‌گوید مطالعه موارد منحصر‌به‌فرد بسیار مهم است. گرایشی به سمت داده‌های بزرگ وجود دارد و ما باید بر اهمیت داده‌های عمیقی تأکید کنیم که حاصل طرح‌های آزمایشی بسیار دقیق افراد است.

آزمایش فدورنکو قصد دارند در آینده از مغز ای جی چیزهای بیشتری بیاموزد. در پیش‌چاپی که ماه گذشته منتشر شد، آن‌ها ناحیه‌ای از مغز به نام «ناحیه شکل بصری کلمه» را بررسی کرده‌اند که تصور می‌شود مسئول رمزگشایی از اشکال نوشتاری کلمات است.

در افرادی که مغز عادی دارند، این منطقه در قشر گیجگاهی شکمی چپ یافت می‌شود؛ اما برای ای‌جی، این عملکرد در کل مغز او توزیع شده است. به‌گفته فدورنکو، او با سرعت و به خوبی می‌خواند. در آینده، آن‌ها همچنین بررسی می‌کنند که چگونه لوب گیجگاهی از دست رفته بر سیستم شنوایی او تأثیر می‌گذارد.

فدورنکو می‌گوید جالب اینکه خواهر ای‌جی لوب گیجگاهی راست خود را از دست داده است و تا حد زیادی تحت‌تأثیر آن قرار نگرفته است. این مسئله نشان می‌دهد که احتمالاً ژنتیک در سکته‌های اوایل کودکی اثر داشته است که بخش‌های از دست رفته مغز را توضیح می‌دهد.

پژوهشگران قصد دارند در مرحله بعد ای‌جی و خواهرش (که او نیز داوطلب شرکت در مطالعه شده است) را مطالعه کنند تا دریابند پردازش اجتماعی و عاطفی چگونه عمدتا در نیمکره راست انجام می‌شود.

درواقع، همه اعضای خانواده مشارکت می‌کنند. فرزند دیگر و پدر ای‌جی نیز مغز خود را اسکن کرده‌اند، اگرچه مشخص شده است که لوب گیجگاهی هر دو سالم است. فرزند دیگر این خانواده نیز در آینده نزدیک تحت اسکن مغز قرار خواهد گرفت.

برای مدتی طولانی، ای جی هرگز به این مسئله فکر نکرده بود که کسی بخواهد او را مطالعه کند. بنابراین، او خوشحال است که رشته علوم اعصاب توانسته است چیزی از مغز او یاد بگیرد. او می‌گوید: «امیدوارم این امر موجب رفع مقداری از نگرش‌های منفی درباره مغزهای غیرعادی شود.»

نظرات