سندرم داون؛ علائم و انواع بیماری، علت‌ها و راه‌های تشخیص آن

پنج‌شنبه 18 مهر 1398 - 22:30
مطالعه 33 دقیقه
سندروم داون یک بیماری ژنتیکی است که با تاخیرهای جسمی و ذهنی همراه است؛ اما افراد مبتلا به سندروم داون با اینکه نقایصی دارند ولی می‌توانند زندگی فعال و رضایت‌بخشی داشته باشند.
تبلیغات

سندروم داون یک بیماری مادرزادی است که تقریبا یک نوزاد از هر ۷۰۰ نوزاد متولد شده در سرتاسر جهان را تحت‌تأثیر قرار می‌دهد و احتمال بروز آن در پسران و دختران برابر است. سندروم داون افراد تمام سنین، نژادها و سطح اقتصادی را تحت‌تأثیر قرار می‌دهد. این سندروم یکی از ناهنجاری‌های کروموزومی است که به‌طور مکرر اتفاق می‌افتد.

سندرم به‌معنای گروهی از ویژگی‌های قابل تشخیص است که همراه هم اتفاق می‌افتند. سندروم مادرزادی، سندرومی است که از زمان تولد وجود دارد و چیزی نیست که فرد بعدا دچار آن شود. چشم‌انداز این بیماری نسبت‌به زمانی‌که این سندرم برای نخستین بار تشریح شد، تغییر کرده است. امروزه بیشتر کودکان دارای سندروم داون زندگی سالم و رضایت‌بخشی دارند و به‌طور موفقیت‌آمیزی در زندگی خانوادگی و اجتماعی مشارکت می‌کنند.

سندروم داون چه زمانی کشف شد؟

افراد دارای سندروم داون قرن‌های متمادی در هنر، ادبیات و علم نشان داده می‌شدند. اما در اواخر قرن نوزدهم یک پزشک انگلیسی به نام جان لانگدان داون توصیف دقیقی از یک فرد مبتلا به سندروم داون منتشر کرد. به خاطر همین مطلب علمی که در سال ۱۸۶۶ منتشر شد، جان به‌عنوان پدر این سندروم شناخته شد. اگرچه افراد دیگری قبلا ویژگی‌های سندروم را تشخیص داده بودند، اما این داون بود که این بیماری ژنتیکی را به‌عنوان یک مشکل جداگانه و متمایز توصیف کرد.

در تاریخ اخیر، پیشرفت‌ در پزشکی و دیگر حوزه‌های علم، پژوهشگران را قادر ساخته است تا ویژگی‌های افراد دارای سندروم داون را مورد بررسی قرار دهند. در سال ۱۹۵۹، یک پزشک فرانسوی به نام ژروم لوژن متوجه شد که سندروم داون یک ناهنجاری کروموزومی است. او متوجه شد که در سلول‌های افراد دچار سندروم داون، به‌جای تعداد طبیعی ۴۶ کروموزوم، ۴۷ کروموزوم وجود دارد. بعدا مشخص شد که یک کروموزوم ۲۱ اضافی (بخشی از آن یا کامل) منجر به بروز ویژگی‌های مرتبط با سندروم داون می‌شود. در ماه می سال ۲۰۰۰، یک گروه بین‌المللی از دانشمندان به‌طور موفقیت‌آمیزی هرکدام از تقریبا ۳۲۹ ژن کروموزوم شماره ۲۱ را شناسایی و فهرست‌بندی کردند. این موفقیت در را رو به‌سوی پیشرفت‌ در پژوهش‌های مرتبط با سندروم داون گشود.

سندروم داون

علت سندروم داون چیست؟

بدن انسان از سلول ساخته شده است؛ تمام سلول‌ها حاوی یک هسته هستند که در آن مواد ژنتیکی یا ژن‌ها ذخیره شده‌اند. ژن‌‌ها حامل کدهای مسئول تمام ویژگی‌های توارثی هستند. ژن‌ها در طول ساختارهای میله‌مانندی که کروموزوم نامیده می‌شوند، سازماندهی شده‌اند. به‌طور طبیعی، هسته‌ی هر سلول انسانی حاوی ۲۳ جفت کروموزوم است که نیمی از آن‌ها از یک والد و نیم دیگر از والد دیگر به ارث رسیده است. کروموزوم‌ها زیر میکروسکوپ قابل مشاهده هستند.

در افراد دارای سندروم داون، سلول‌ها معمولا به‌جای ۴۶ کروموزوم، حاوی ۴۷ کروموزوم هستند؛ کروموزوم اضافه، کروموزوم شماره‌ی ۲۱ است. این ماده‌ی ژنتیکی اضافه به شکل ژن‌های اضافی در طول کروموزوم ۲۱ منجر به بروز سندروم داون می‌شود. کروموزوم ۲۱ اضافی در آزمایش کاریوتایپ تشخیص داده می‌شود. کاریوتایپ یک نمایش بصری از کروموزوم‌ها است که براساس اندازه، شکل و تعداد، گروه‌بندی شده‌اند. کروموزوم‌ها ممکن است با استفاده از سلول‌های خونی یا بافتی مورد بررسی قرار گیرند. کروموزوم‌ها به‌صورت انفرادی شناسایی شده و از بزرگ‌ترین به کوچک‌ترین شماره‌گذاری می‌شوند. ۹۵ درصد از موارد سندروم داون ناشی از حضور یک کروموزوم شماره‌ی ۲۱ اضافی است؛ وضعیتی که با عنوان «تریزومی ۲۱» توصیف می‌شود.

کاریوتایپ انسان طبیعی

این تصاویر، کروموزوم‌های طبیعی سلول‌های یک مرد و زن را نشان می‌دهد. هر دو دارای ۴۶ کروموزوم هستند که ۲۳ جفت را تشکیل می‌دهد. اختلاف بین جنس ماده و جنس نر در جفت کروموزوم‌ شماره‌ی ۲۳ است که با عنوان کروموزوم‌های جنسی شناخته می‌شوند. ماده‌ها دو کروموزوم X دارند درحالی‌که نرها یک کروموزوم X و یک کروموزوم کوچک‌تر به نام Y دارند.

سلول‌های بدن به‌طور پیوسته می‌میرند و با سلول‌های جدید جایگزین می‌شوند. هر سلول والدی به دو سلول دختری تقسیم می‌شود. در جریان این فرایند، کروموزوم‌ها طوری تکثیر می‌شوند که یک مجموعه‌ی کامل از ۴۶ کروموزوم به هر کدام از سلول‌های جدید برسد. این نوع تقسیم سلولی که تقسیم میتوز نامیده می‌شود، در سلول‌های بدنی رخ می‌دهد. اما نوعی از تقسیم سلولی که تقسیم میوز نامیده می‌شود، به‌منظور ایجاد سلول‌های جنسی یا همان اسپرم و تخمک اتفاق می‌افتد. بارور شدن تخمک به‌وسیله‌ی اسپرم موجب ایجاد جنین می‌شود. برای اینکه سلول‌های فرزند حاصل ۴۶ کروموزوم داشته باشد، از طرف هر والد ۲۳ کروموزوم وارد اسپرم یا تخمک می‌شود.

البته تقسیم میوز ممکن است دچار خطا شده و اسپرم یا تخمک تعداد نادرستی از کروموزوم‌ها را دریافت کنند. اصطلاح تخصصی برای توضیح چنین اتفاقی، عدم جدا شدن یا عدم تفرق صحیح کروموزوم‌ها هنگام تقسیم (non-disjunction) است. طی این فرایند، در سلول والدی یک جفت از کروموزوم‌ها نمی‌توانند به‌طور برابر از هم جدا شده و وارد سلول‌های دختری شوند (اسپرم یا تخمک).

معمولا بارداری که با عدم تعادل کروموزومی آغاز شود، منجر به سقط جنین می‌شود اما اگر بارداری ادامه پیدا کند، نوزادی مبتلا به نوعی سندروم کروموزومی متولد خواهد شد. سندروم داون، رایج‌ترین فرم چنین وضعیتی است که در نتیجه‌ی وجود یک نسخه‌ی اضافی از کروموزوم شماره‌ی ۲۱ رخ می‌دهد. در سلول‌های این افراد به‌جای دو نسخه، سه نسخه از کروموزوم ۲۱ وجود دارد. این موضوع علت نام دیگر سندروم داون یعنی تریزومی ۲۱ است: تریزومی ۲۱ از واژه‌ی یونانی «تری» به‌معنای ۳ و «سوما» به‌معنای جسم گرفته شده است.

مقاله‌ مرتبط:کروموزوم چیست؟

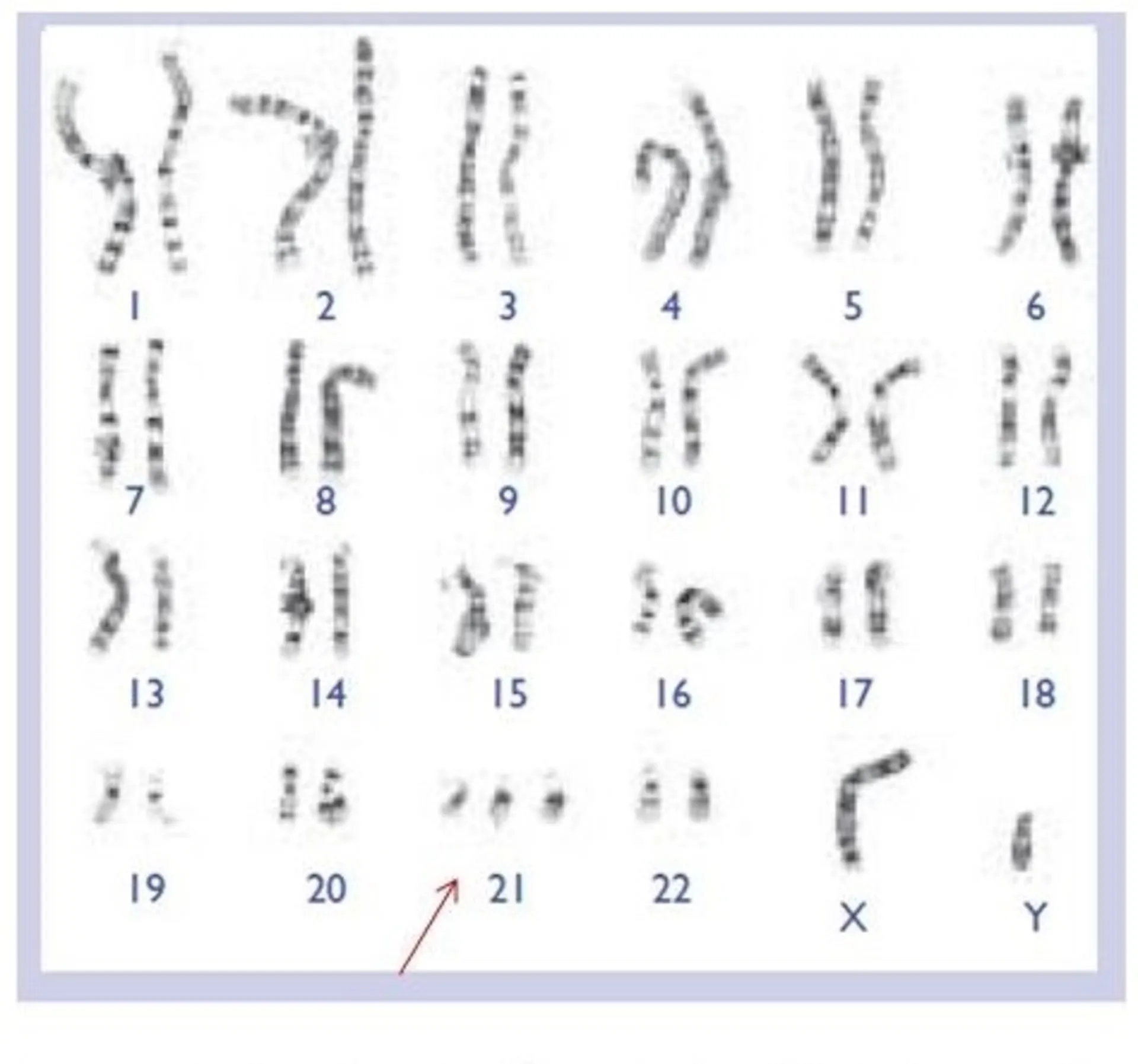
دو نوع دیگر از ناهنجاری‌های کروموزومی یعنی موزاییسم و جابه‌جایی نیز تا حد بسیار کمتری در سندروم داون دخیل هستند. قطع نظر از نوع سندروم داونی که فرد ممکن است به آن مبتلا باشد، تمام افراد دارای سندروم داون دارای یک بخش اضافی و مهمی از کروموزوم ۲۱ هستند که در تمام یا برخی از سلول‌های آن‌ها وجود دارد. این ماده‌ی ژنتیکی اضافه روی روند رشد‌و‌نمو تأثیر می‌گذارد و موجب بروز ویژگی‌های مرتبط با این سندروم می‌شود. شکل زیر کاریوتایپ یک فرد مبتلا به سندروم داون را نشان می‌دهد (جنس نر).

سندرم داون-مرد

انواع سندروم داون

این روزها هر نوزاد متولد شده با سندروم داون دارای یک آزمایش خونی کروموزومی برای تأیید تشخیص است. اساسا سه نوع سندروم داون وجود دارد:

سندروم داون تریزومی ۲۱

این معمول‌ترین فرم سندروم داون است که حدود ۹۵ درصد کل موارد این سندروم را شامل می‌شود. این وضعیت زمانی اتفاق می‌افتد که یکی از والدین به‌جای یک کروموزوم، طی عدم تفرق صحیح کروموزومی هنگام تقسیم، دو کروموزوم شماره ۲۱ به اسپرم یا تخمک خود می‌دهد. این امر موجب می‌شود که فرزند حاصل در هر سلول خود دارای یک کرموزوم اضافی ۲۱ باشد.

تقسیم سلولی

تقسیم سلولی طبیعی (شکل بالا): در جریان باروری، ۲۳ کروموزوم‌ تخمک و ۲۳ کروموزوم اسپرم با هم ترکیب می‌شوند. تخم بارور شده‌ی حاصل دارای ۴۶ کروموزوم خواهد بود. طی تقسیم سلولی میوز، سلول خود را تکثیر می‌کند و به دو سلول تقسیم می‌شود که در هر سلول ۴۶ کروموزوم وجود دارد.

عدم تفرق صحیح کروموزوم ها

عدم تفرق صحیح کروموزومی هنگام تقسیم (شکل بالا)، ناتوانی جفت کروموزوم‌ها ازنظر جدا شدن در جریان میوز است. تقسیم میوز فرایندی است که طی آن سلول‌های اسپرم و تخمک تشکیل می‌شوند. عدم تفرق صحیح کروموزومی هنگام تقسیم موجب می‌شود که هر دو کروموزوم ۲۱ وارد یکی از سلول‌ها شوند و سلول دیگر کروموزوم ۲۱ نداشته باشد.

علل عدم تفرق صحیح کروموزوم‌ها هنوز مشخص نیست. به‌نظر می‌رسد که یک عامل، سن مادر باشد، زیرا احتمال داشتن فرزند دچار این سندروم در مادران مسن‌ بیشتر است. اگرچه، نوزادان دچار سندروم داون از والدین هر گروه سنی متولد می‌شوند. به‌طور کلی، عمده‌ی زنان در دهه‌ی سوم یا اوایل دهه‌ی چهارم زندگی فرزنددار می‌شوند بنابراین بیشتر کودکان دچار سندروم داون از این گروه سنی متولد می‌شود که هیچ عامل خطرساز شناخته‌شده‌ای ندارند.

تریزومی ۲۱ معمولا توارثی نیست. احتمال اینکه یک زوج، فرزند دوم مبتلا به سندروم داونی داشته باشند، حدود یک درصد است. اگرچه این احتمال کم است اما بیشتر از جمعیت عمومی است. برخی از زوج‌ها در بارداری‌های بعدی آزمایش‌های پیش از تولد را انجام می‌دهند. این آزمایش‌ها بعدا توضیح داده خواهد شد.

ارتباط بین شیوع سندروم داون و سن مادر

اگرچه منشا عدم تفرق صحیح کروموزومی ممکن است پدری باشد، اما این احتمال بسیار ضعیف است. پیشنهاد شده است که عوامل محیطی ممکن است موجب عدم تفرق صحیح کروموزوم‌ها در هنگام تقسیم شوند. اما با اینکه پژوهش‌های زیادی در این زمینه انجام شده است، علت (یا علل) عدم تفرق صحیح کروموزوم‌ها هنوز ناشناخته مانده است. شواهد علمی وجود ندارد که نشان دهند عوامل محیطی یا فعالیت‌های والدین قبل یا در جریان بارداری دارای تأثیری روی هریک از سه نوع سندروم داون باشد.

موزائیسم (Mosaicism)

موزائیسم زمانی رخ می‌دهد که عدم تفرق صحیح کروموزوم شماره‌ی ۲۱ در یکی از تقسیم‌های سلولی اولیه پس از لقاح (باروری) اتفاق می‌افتد. در چنین وضعیتی، مخلوطی از هر دو نوع سلول وجود خواهد داشت که برخی دارای ۴۶ کروموزوم و برخی حاوی ۴۷ کروموزوم هستند. سلول‌های ۴۷ کروموزومی، حاوی یک کروموزوم اضافه‌ی شماره ۲۱ هستند. به‌علت الگوی موزائیکی سلول‌ها از اصطلاح موزائیسم استفاده می‌شود. موزائیسم وضعیتی نادر است که تنها دو درصد از تمام موارد سندروم داون را شامل می‌شود. افراد دارای سندروم داون موزائیسم نسبت‌به افرادی که سندروم داون آن‌ها ناشی از عدم تفرق صحیح کروموزومی هنگام تقسیم یا جا‌به‌جایی است، ممکن است کمتر تحت‌تأثیر ویژگی‌های فیزیکی و ذهنی سندروم داون قرار گیرند (البته این موضوع بیشتر بستگی به نسبت سلول‌های درگیر دارد).

موزائیسم

موزائیسم (تصویر بالا) پس از اینکه تخم بارور شده تقسیم طبیعی خود را آغاز می‌کند، اتفاق می‌افتد. عدم تفرق صحیح کروموزومی در یکی از خطوط سلولی رخ می‌دهد و منجر به تشکیل فردی با ترکیبی از خطوط سلولی معمولی و تریزومی ۲۱ می‌شود.

جا‌به‌جایی کروموزومی (Translocation)

جابه‌جایی کروموزومی ۳ تا ۴ درصد از کل موارد سندروم داون را شامل می‌شود. در جا‌به‌جایی، بخشی از کروموزوم ۲۱ در جریان تقسیم سلولی می‌شکند و به کروموزوم دیگری متصل می‌شود. درحالی‌که تعداد کلی کروموزوم‌ها در سلول‌ها همان ۴۶ باقی می‌ماند، وجود بخش اضافی از کروموزوم ۲۱ موجب بروز ویژگی‌های سندروم داون می‌شود.

همانند عدم تفرق صحیح کروموزومی، جابه‌جایی نیز قبل از لقاح یا در زمان لقاح رخ می‌دهد. اما برخلاف عدم تفرق صحیح کروموزومی، سن مادر ارتباطی با خطر وقوع جا‌به‌جایی ندارد. بیشتر موارد، پراکنده و رویدادهای تصادفی هستند. اگرچه درحدود یک‌سوم از موارد جا‌به‌جایی، یکی از والدین حامل یک کروموزوم جابه‌جا شده است. به این دلیل، خطر عود جابه‌جایی در کودک بعدی بیش از این احتمال در حالت عدم تفرق صحیح کروموزومی است. مشاوره‌ی ژنتیکی می‌تواند منشا جابه‌جایی را مشخص کند.

تشخیص قبل از تولد

غربالگری و آزمایش‌های پیش از تولد برای تشخیص سندروم داون

دو نوع آزمایش برای زنان باردار وجود دارد: آزمایش‌های غربالگری و آزمایش‌های تشخیصی. آزمایش‌های غربالگری خطر (احتمال) اینکه جنین دارای سندروم داون باشد را تخمین می‌زنند؛ آزمایش‌های تشخیصی به‌طور قطعی مشخص می‌کنند که آیا جنین واقعا دارای سندروم داون است یا خیر.

تا قبل از دهه‌ی ۱۹۸۰، دررابطه‌با این سندروم، هیچ آزمایش خون یا غربالگری برای زنان باردار در دسترس نبود. بعد از آن، دانشمندان متوجه شدند که سطوح آلفا فیتو پروتئین (AFP) در خون مادری که جنین دارای ناهنجاری‌های کروموزومی مانند سندروم داون را باردار است، پایین‌تر است.

در حال حاضر، رایج‌ترین آزمایش غربالگری، آزمایش سه‌گانه است. این آزمایش، ترکیبی از سه آزمایش است که مقادیر مواد مختلفی را در خون اندازه‌گیری می‌کند (آلفا فیتوپروتئین، گنادوتروپین جفتی انسان و استریول غیرکونژوگه) و به همراه سن مادر، خطر داشتن فرزند مبتلا به سندروم داون را تخمین می‌زند. آزمایش‌های غربالگری معمولا در هفته‌های ۱۵ تا ۲۰ بارداری انجام می‌شوند. آزمایش چهارگانه (تست کواد) که در آن ماده‌ی دیگری به نام اینهیبین A نیز اندازه گیری می‌شود، در تلاش برای غربالگری دقیق‌تر معرفی شده است.

غربالگری‌ها معمولا ‌همراه‌با یک سونوگرافی دقیق انجام می‌شوند. سونوگرافی می‌تواند برخی از صفات فیزیکی یا توسعه‌ای را که در محاسبه‌ی خطر سندروم داون مفید هستند، نشان دهد اگرچه این آزمایش‌ها به‌تنهایی برای تشخیص سندروم داون کافی نیستند. باید توجه کنیم که آزمایش‌های غربالگری ارزش محدودی دارند و در برخی از زنانی که این آزمایش‌ها را انجام می‌دهند، نتیجه به‌صورت مثبت کاذب یا منفی کاذب درمی‌آید. آزمایش سه‌گانه دارای نرخ ۵ تا ۸ درصد مثبت کاذب و ۳۵ تا ۴۰ درصد منفی کاذب است و درحدود ۶۰ تا ۶۵ درصد از تمام موارد سندروم داون را تشخیص می‌دهد.

بنابراین، غربالگری کامل نیست و همه‌ی مادران دارای جنین مبتلا به سندروم داون شناسایی نخواهند شد و برخی نیز به اشتباه به‌عنوان غربالگری مثبت تشخیص داده می‌شوند. بیشتر مادرانی که غربالگری مثبت می‌شوند، با انجام آزمایش‌های بیشتر متوجه می‌شوند که جنین آن‌ها مشکلی ندارد. اگر غربالگری به‌طور مناسبی توضیح داده نشده یا به‌خوبی درک نشود، منجر به اضطراب می‌شود. اگر طی غربالگری فرد مشکوک به داشتن فرزند دارای سندروم داون شود، می‌تواند با انجام آزمایش‌های تشخیصی به‌طور قطعی این احتمال را مورد بررسی قرار دهد.

رویه‌های موجود برای تشخیص پیش از تولد سندروم داون عبارت‌اند از آمنیوسنتز، نمونه‌گیری از پرزهای کوریونی (CVS) و نمونه‌گیری از خون بند ناف (PUBS). این رویه‌ها در تشخیص سندروم داون ۹۸ تا ۹۹ درصد دقیق هستند. آمنیوسنتز معمولا در فاصله‌ی بین ۱۲ تا ۲۰ هفتگی بارداری، CVS بین ۸ تا ۱۲ هفتگی و PUBS پس از ۲۰ هفتگی انجام می‌شود.

 آمنیوسنتز

آمینوسنتز رایج‌ترین شکل تشخیص پیش از تولد است. برای انجام این آزمایش، یک سوزن نازک وارد رحم می‌شود و نمونه‌ای از مایع آمنیوتیک اطراف جنین جمع‌آوری می‌شود. تعدادی از سلول‌های جنینی در این مایع وجود دارند. این آزمایش در ۱ درصد موارد می‌تواند موجب سقط جنین شود. روش CVS نیز نظیر آمینوسنتز است اما سلول‌ها از جفت جمع آوری می‌شوند. همچون آزمایش آمینوسنتز، روش CVS دارای ۲ تا ۳ درصد خطر سقط جنین است.

بهبود در حساسیت و قدرت پیش‌بینی آزمایش‌های پیش از تولد در حال افزایش است. برای یافتن مناسب‌ترین و به روزترین آزمایش باید با متخصص پزشکی یا مشاور ژنتیک مشورت کرد.

نمونه گیری از پرزهای جفتی
نمونه گیری از خون بند ناف

تشخیص سندروم داون در نوزاد تازه متولد شده

تشخیص سندروم داون معمولا بالافاصله پس از تولد دقیق نیست. ویژگی‌های جسمی زیادی وجود دارد که موجب می‌شود درمورد وجود سندروم داون مشکوک شد اما بسیاری از این ویژگی‌ها تاحدودی در جمعیت عمومی هم مشاهده می‌شوند. بنابراین اگر در مورد سندروم داون شکی وجود داشته باشد، برای تشخیص قطعی باید آزمایش کاریوتایپ انجام شود.

افراد دارای سندروم داون ویژگی‌های مشترکی دارند اما به والدین و دیگر اعضای خانواده‌ی خود نیز شباهت دارند. سندروم داون ویژگی‌های زیادی دارد اما هر فرد تنها برخی از آن‌ها را با خود به همراه دارد. کودکان و افراد بالغ دارای سندروم داون نباید به‌عنوان یک گروه در نظر گرفته شوند. هر فردی شخصیت و توانایی‌های منحصربه‌فرد خود را دارد.

سندرم داون

کودک دارای سندروم داون معمولا دارای صورتی گرد و پروفایلی مسطح است. سر کودک اغلب کوچک‌تر از حد متوسط است که به‌خاطر عدم توسعه‌ی کامل استخوان‌های صورت رخ می‌دهد. پشت سر کودک ممکن است کمی مسطح باشد و گردن کوتاه به‌نظر برسد.

کودک مبتلا به سندروم داون ممکن است دارای دهان کوچک و سقف دهان مسطحی باشد. این امر موجب می‌شود که زبان فضای کمتری داشته باشد و احتمال اینکه حالت برآمدگی پیدا کند، را بیشتر می‌کند. این وضعیت با ضعف عضلات آرواره‌ و زبان تشدید می‌شود.

تقریبا، چشمان تمام افراد دارای سندروم داون، کمی به سمت بالا منحرف است. پلک سوم که یک لایه‌ی کوچک پوست است که در گوشه‌ی داخلی چشم وجود دارد، نیز دیده می‌شود. همچنین ممکن است لکه‌های سفید کوچکی روی عنبیه دیده شود. هیچ کدام از این ویژگی‌ها روی بینایی اثری ندارند.

بازوها و پاها اغلب نسبت‌به اندازه‌ی بدن کوتاه هستند و دست‌ها ممکن است پهن و انگشتان کوتاه باشند. انگشت کوچک ممکن است به‌جای دو مفصل داری یک مفصل باشد و به سمت انگشتان دیگر خم باشد. کف دست اغلب دارای یک شکاف است. پاها اغلب پهن بوده، انگشتان پا کوتاه و فاصله‌ی بین انگشت بزرگ و انگشت دوم پا زیاد است.

در زمان تولد برخی از نوزادان دارای تون عضلانی ضعیف بوده و حالت شلی یا سستی دارند. همچنین ممکن است انعطاف‌پذیری بیش‌ازحدی داشته باشند. تون عضلانی در سال‌های اولیه در کمترین مقدار است ولی با افزایش سن کودک بهبود می‌یابد و به ندرت در زمان نوجوانی، همچنان به‌صورت یک مشکل باقی می‌ماند.

در جریان دوران کودکی رشد آهسته اما پیوسته است و قد زمان بلوغ نزدیک حد پایین دامنه‌ی طبیعی قد است. نمودارهای خاصی برای اندازه‌گیری رشد این کودکان موجود است و باید از این نمودارها برای اندازه‌گیری پیشرفت رشد کودک استفاده کرد. به‌طورکلی صفات ظاهری سندروم داون را می‌توان به شکل زیر خلاصه کرد:

  • هیپوتونی عضلانی (کم بودن تون عضلانی)
  • پروفایل چهره‌ی مسطح، پل بینی تاحدودی فرورفته و بینی کوچک
  • شکاف‌های پلکی مورب
  • گوش‌های دارای دارای دیسپلازی (بدشکلی گوش)
  • وجود یک خط در کف دست
  • انعطاف‌پذیری بیش از حد، توانایی اضافه برای کشش مفاصل
  • خمیدگی انگشت پنجم که به‌علت عدم توسعه‌ی استخوان بند میانی رخ می‌دهد
  • وجود پلک سوم
  • فاصله‌ی اضافی بین انگشت اول و دوم پا
  • بزرگ بودن اندازه‌ی زبان نسبت‌به اندازه‌ی دهان

مشکلات سلامتی افراد مبتلا به سندروم داون

درحالی‌که احتمال بروز برخی از مشکلات پزشکی در میان افراد مبتلا به سندروم داون در‌مقایسه‌با جمعیت عمومی بیشتر است، پیشرفت‌های پزشکی موجب شده است که بیشتر این مشکلات سلامتی قابل درمان باشند و بیشتر افراد دچار سندروم داون زندگی سالمی داشته باشند.

نقایص مادرزادی قلبی، افزایش حساسیت به عفونت، مشکلات تنفسی و شنوایی، انسداد مجاری گوارشی، آپنه خواب و لوکمی اطفال با فراوانی بیشتری در کودکان مبتلا به سندروم داون اتفاق می‌افتد. افراد بالغ مبتلا به سندروم داون همچنین در معرض افزایش خطر ابتلا به بیماری آلزایمر، مشکلات تیروئید و آپنه خواب هستند. امروزه عمده‌ی افرادی که با سندروم داون متولد می‌شوند، دارای میانگین امید به زندگی ۵۵ سال هستند و برخی حتی بیشتر نیز عمر می‌کنند.

تمام افراد دارای سندروم داون معمولا تاخیرهای شناختی را تجربه می‌کنند. اگرچه این اثر معمولا خفیف تا متوسط بوده و نشان‌دهنده‌ی همه‌ی توانایی‌ها و استعدادهای فرد نیست. کودکان دچار سندروم داون یاد می‌گیرند که بنشینند، راه بروند، صحبت کنند، بازی کنند، توالت بروند و بیشتر فعالیت‌های دیگر را انجام می‌دهند. آن‌ها این کارها را فقط با قدری تأخیر نسبت‌به همتایان بدون سندروم داون خود انجام خواهند داد.

محدوده سنی دستیابی به مهارت‌های مختلف در کودکان عادی و سندروم داون

حمایت‌ها و خدمات پزشکی که کمی پس از تولد آغاز می‌شوند، به کودکان دارای سندروم داون کمک می‌کنند که طبق تمام ظرفیت خود رشدونمو کنند. درمان‌های جسمی، گفتاری و کاردرمانی موجب تقویت توسعه‌ی کودک می‌شود و راهی برای والدین است که پیشرفت کودک خود را پیگیری کنند. برنامه‌های آموزشی با کیفیت همراه‌با محیط خانوادگی مشوق و مراقبت‌های پزشکی مناسب، افراد دارای سندروم داون را قادر می‌سازد تا درجهت زندگی رضایت‌بخشی پیش بروند.

سندرم داون

افراد دارای سندروم داون دربرابر محیط اجتماعی و فیزیکی خود بسیار واکنشی هستند. یک فرد دارای سندروم داون دارای همان عواطف و نیازهایی است که دیگر افراد دارند و شایسته‌ی همان فرصت‌هایی است که دیگر افراد جامعه دارند. می‌توان انتظار داشت، افرادی که حمایت مثبت دریافت می‌کنند و در فعالیت‌های جامعه مشارکت می‌کنند، به‌طور موفقیت‌آمیزی سازگاری حاصل کنند؛ در مدرسه حاضر ‌شوند، دوستانی پیدا کنند، کار پیدا کنند و در تصمیم‌گیری‌هایی که روی آن‌ها تأثیر دارد، شرکت کرده و به‌طورکلی در جامعه نقش داشته باشند.

مشکلات سلامتی مرتبط با سندروم داون: مشکلاتی که در ادامه آمده است، می‌تواند درمورد هر کودکی اتفاق افتد، اما در کودکان دارای سندروم داون رواج بیشتری دارد. البته بسیاری از کودکان دارای سندروم داون بیشتر این مشکلات را تجربه نمی‌کنند.

مشکلات سلامتی خفیف

عفونت‌های مجرای تنفسی فوقانی: بیشتر کودکان کودکستانی مستعد به سرماخورگی، سرفه و عفونت‌های گوش هستند. اما کودکان دارای سندروم داون در این زمینه حساس‌ترند زیرا گذرگاه‌های بینی و گوش آن‌ها باریک‌تر است. این کودکان ممکن است به درمان آنتی‌بیوتیکی نیاز پیدا کنند.

گوش‌ها: تجمع مایع در گوش، در تمام کودکان کم سن و سال به‌ویژه کودکانی که مبتلا به سندروم داون هستند، به‌علت باریک بودن لوله‌ی استاش گوش رایج است. این گذرگاه از بخش انتهایی گوش میانی تا گلو امتداد پیدا می‌کند و امکان تخلیه‌ی ترشحات را فراهم می‌کند. اگر این مجرا مسدود شوند، مایع تجمع پیدا کرده و موجب کم‌شنوایی می‌شود. این وضعیت گاهی خود‌به‌خود برطرف شده و گاهی نیاز به درمان آنتی‌بیوتیکی دارد.

گاهی نیز ممکن است وضعیت مزمن‌تری با ترشحات چسبناک و غلیظی پیش آید که به آن گوش چسبناک می‌گویند. اگر کودک دچار درد مداوم یا ناشنوایی شده باشد، برای تخلیه‌ی مایع لوله‌ی پلاستیکی ریزی به نام لوله‌ی تهویه یا گرومت در گوش او قرار داده می‌شود. نکته‌ای که باید مورد توجه قرار گیرد این است که باید با کودکی که دچار مشکل گوش چسبناک است، به‌طور شفاف و مستقیم سخن گفته شود. شیوع این مشکل تقریبا در ده سالگی کمتر می‌شود اما وضعیت شنوایی باید در تمام طول زندگی مورد نظارت قرار گیرد.

چشم‌ها: بینایی کودکان مبتلا به سندروم داون به‌علت گرایش به توسعه‌ی نزدیک‌بینی یا دوربینی، باید به‌طور مرتب مورد بررسی قرار گیرد. انحراف چشم نیز در میان این کودکان رواج بیشتری دارد.

گاهی به نظر می‌رسد که کودکان دارای سندروم داون به‌علت فاصله‌ی زیادی بین چشمان و وجود پلک سوم، دارای انحراف چشم (لوچی) باشند. البته لوچی‌های واقعی در اثر عدم توازن ماهیچه‌های چشمی رخ می‌دهد. وقتی دید یکی از چشمان کامل نباشد، کودک استفاده از آن را سرکوب می‌کند و آن چشم تنبل می‌شود. برای درمان انحراف چشم می‌توان به‌وسیله‌ی پارچه‌ای، چشم خوب را بست تا بینایی چشم دیگر تقویت شود. گاهی نیز برای اصلاح موقعیت چشم نیاز به عمل جراحی است.

یک مشکل رایج دیگر نیستاگموس است (حرکات منظم، نوسانی و مکرر چشم در یک یا چند منطقه‌ی بینایی که به‌طور غیرارادی اتفاق می‌افتد). این وضعیت ناشی از هماهنگی ضعیف بین ماهیچه‌ها است. نیستاگموس تاحدودی با استفاده از عینک قابل اصلاح است. این حالت معمولا به‌طور خود‌به‌خود و همگام با افزایش سن کودک بهتر می‌شود.

آب مروارید به‌ندرت اتفاق می‌افتد. اگر این وضعیت موجب اختلال در بینایی شود با عمل جراحی و عینک قابل اصلاح است. مجاری اشکی کوچک گاهی موجب بروز حالت چشم‌های چسبناک می‌شود که برای درمان آن شستن چشم با محلول نمکی مفید است.

مشکلات مرتبط با خوردن و آشامیدن: تون ضعیف ماهیچه‌ها می‌تواند موجب شود که کودک دچار سندروم داون دارای مشکلات مکیدن یا برگرداندن غذا شود. اگرچه مهارت‌های خوردن و آشامیدن توسعه پیدا می‌کند ولی این وضعیت می‌تواند همچنان مشکل‌ساز باشد.

تون عضلانی و فتق: برآمدگی‌های شکمی و فتق به‌ویژه در ناحیه‌ی ناف رایج است و دراثر ضعف تون عضلانی تشدید می‌شود. این امر اگرچه موجب جلب توجه می‌شود اما به‌ندرت موجب بروز مشکل می‌شود و معمولا به‌خودی‌خود برطرف می‌شود. فتق‌هایی که کشاله‌ی ران را درگیر می‌کنند، کمتر رواج بوده اما معمولا به درمان نیاز دارند. گاهی اوقات کودکان کم سن و سال دارای سندروم داون به‌علت ضعف تون ماهیچه در دوران جنینی، دارای ناهنجاری‌های وضعیتی خفیف پا هستند. این مشکل با تمرین‌های کششی ساده بهبود می‌یابد.

یبوست: نوزادان دارای سن بالاتر و کودکان با مصرف مقدار کافی از مایعات، فیبر غذایی و میلین‌ها (درصورت تجویز پزشک) درمان می‌شوند. در نوزدان کم سن، یبوست را باید پزشک اطفال تشخیص دهد.

پوست: بسیاری از افراد دارای سندروم داون دارای پوست خشکی هستند که پوسته‌پوسته شده، ترک برداشته یا دچار خارش می‌شود. استفاده‌ی مکرر از آب و صابون و قرار گرفتن در معرض هوا می‌تواند موجب بدتر شدن این وضعیت شود. استفاده از صابون به‌علت خشک کردن پوست توصیه نمی‌شود. روغن حمام نیز توصیه نمی‌شود زیرا مانع از آبرسانی به پوست می‌شود. استفاده از کرم آبرسان یا استفاده از یک ماده‌ی روغنی روی پوست پس از حمام می‌تواند مفید باشد.

مشکلات سلامتی شدید

شرایطی که در ادامه آمده است، ممکن است هر نوزاد یا کودکی را تحت‌تأثیر قرار دهد اما احتمال شیوع آن در کودکان دارای سندروم داون بیشتر است.

مشکلات مربوط به دستگاه گوارش

۱. انسداد کامل:

آترزی دئودنوم: این وضعیت حدود ده درصد از نوزادان مبتلا به سندروم داون را تحت‌تأثیر قرار می‌دهد و در آن بخش کوچکی از روده کاملا مسدود می‌شود. این مشکل سریعا پس از تولد قابل تشخیص است. درمان آن معمولا انجام عمل جراحی و حذف قطعه‌ی مسدود شده است.

انسداد روده

۲. انسداد جزئی:

بیماری هیرشپرونگ: این مشکل بسیار نادر معمولا دیرتر از آترزی دئودنوم تشخیص داده می‌شود. فقدان سلول‌های عصبی خاصی در دیواره‌ی روده مانع از خارج شدن منظم و آسان محتویات روده شده و منجر به بروز یبوست شدید، استفراغ و نفخ شدید می‌شود. درمان این وضعیت از طریق عمل جراحی است.

کم‌کاری غده تیروئید (هیپوتیروئیدی)

این مشکل ناشی از کمبود هورمونی به نام تیروکسین است که بوسیله‌ی غده‌ی تیروئید تولید می‌شود. به‌منظور حفظ عملکرد مناسب ذهن و بدن، مقدار تیروکسین باید در سطح معینی باشد. نوزادان تازه متولد شده‌ای که دچار این مشکل هستند، ازطریق آزمایش گاتری تشخیص داده می‌شوند. کودکان دارای سن بیشتر و افراد بالغ ممکن است بدون علائم آشکار دچار این وضعیت باشند، بنابراین باید عملکرد تیروئید به‌طور منظم مورد آزمایش قرار گیرد. برای درمان، مکمل‌های تیروئید تجویز می‌شود.

لوکمی

درحدود یک درصد از کودک مبتلا به سندروم داون، دچار لوکمی می‌شوند. لوکمی سرطان سلول‌های سفید خون است. آغاز این بیماری معمولا بین ۱ تا ۴ سالگی است و علائم آن رنگ‌پریدگی، کبودی و ناخوشی عمومی است. درمان‌های دارویی جدید می‌تواند به کنترل لوکمی کمک کند و حتی در بسیاری از موارد آن را به‌طور دائم درمان کند.

ناپایداری مهره‌های گردن (ناپایداری آتلانتواکسیال)

تقریبا در ۱۰ تا ۲۰ درصد از کودکان و افراد بزرگ‌سال دارای سندروم داون، قابلیت حرکت مفصل دو استخوانی که مستقیما زیر جمجمه قرار گرفته‌اند (مهره‌های اطلس و آسه)، بیش از حالت طبیعی است. فشار غیرطبیعی گردن می‌تواند موجب جابه‌جایی این استخوان‌ها و بروز علائم عصبی نظیر تغییر حس در انگشتان و دستان یا گاهی اوقات فلجی شود. هنوز روش قابل اعتمادی برای تشخیص افرادی که در معرض این خطر هستند، وجود ندارد. اگرچه گاهی اوقات از رادیوگرافی (تهیه عکس به کمک اشعه ایکس) برای تشخیص این مشکل استفاده می‌شود، اما اخیرا مشخص شده است که این روش، رویکرد قابل اعتمادی برای تشخیص این مشکل نیست.

علائم فشرده شدن نخاع عبارت‌اند از درد گردن، حرکت محدود گردن، عدم ثبات در راه رفتن و بدتر شدن وضعیت کنترل روده و مثانه. درصورت بروز این علائم، باید سریعا به پزشک مراجعه کرد. راه درمان فشردگی نخاع، انجام عمل جراحی برای چسباندن پشت مهره‌ی اطلس به پشت مهره‌ی آسه است. اگرچه این عمل ممکن است از میزان حرکت گردن کم کند، اما از جا‌به‌جایی مرگبار مفصل اطلس-آسه پیشگیری می‌کند.

کودکان و افراد بالغ دچار سندروم داون نباید از فعالیت‌های ورزشی منع شوند اما لازم است از فعالیت‌های ورزشی شدید مانند بالا و پایین پریدن شدید، اسب‌سواری و شیرجه از ارتفاع زیاد خودداری کنند. درواقع ورزش منظم حتی توصیه می‌شود.

هنگام انجام هر رویه‌ی درمانی که نیاز به بیهوشی دارد، باید از یک گردن‌بند استفاده شود تا گردن را به حالت ثابت حفظ کند و مانع از بروز آسیب نخاعی شود. از گردن‌بندها همچنین درمواردی که فرد دچار سندروم داون تصادف می‌کند، تا زمانی‌که مورد معاینه قرار گیرد، استفاده می‌شود (برای پیشگیری از وارد آمدن آسیب به نخاع).

نقایص قلبی

درحدود یک کودک از هر ۳ کودک متولد شده با سندروم داون دارای یک نقص قلبی است که چون از زمان تولد وجود دارد، بیماری قلبی مادرزادی (نقص مادرزادی قلبی) خوانده می‌شود. اگر این مشکل در زمان تولد دیده نشود، در مراحل بعدی زندگی نیز رخ نخواهد داد.

به‌عنوان بخشی از روند معاینه‌ی نوزادان، پزشک اطفال قلب و عروق خونی نوزاد تازه متولد شده را برای بررسی وجود هرگونه مشکلی بررسی می‌کند. تشخیص اختلالات قلبی بالافاصله پس از تولد دشوار است، بنابراین، در سن ۶ هفتگی یک بررسی دیگر انجام می‌شود. در این رابطه، از آزمایش‌های تشخیصی زیر استفاده می‌شود:

اکوکاردیوگراف یا اسکن اولتراسوند (سونوگرافی): ساختار قلب با عبور دادن یک پد کوچک حاوی امواج اولتراسوند از روی قفسه‌ی سینه مورد بررسی قرار می‌گیرد. نتیجه روی یک صفحه‌ی نمایش نشان داده می‌شود. این بررسی بسیار دقیق است و نتیجه‌ی یک‌ اولتراسوند نرمال، مطمئن است.

الکتروکاردیوگرام یا ECG: الکترودهای کوچکی روی بدن کودک قرار داده شده و به‌دستگاهی متصل می‌شود که جریان‌های الکتریکی حاصل از فعالیت قلب را بر می‌دارد و آن‌ها را به شکل نموداری روی برگه‌ای ثبت می‌کند.

گاهی پزشک اطفال شنیدن سوفل قلبی را تشخیص می‌دهد؛ صدایی که مربوط به جریان غیرطبیعی خون در قلب است. بسیاری از سوفل‌ها بی‌اهمیت بوده و درنهایت برطرف می‌شوند. همه‌ی کودکانی که دچار مشکل قلبی هستند، نیازی به جراحی ندارند. بسیاری از آن‌ها با وجود مشکل قلبی زندگی کاملی خواهند داشت و فقط برای معاینه به‌صورت دوره‌ای به پزشک مراجعه می‌کنند.

انواع بیماری قلبی مادرزادی

۱. نقص کانال دهلیزی بطنی (نقص AVSD)

این نقص، شایع‌ترین نقص قلبی در کودکان مبتلا به سندروم داون است و از هر ۶ کودک، در ۱ نفر دیده می‌شود. در این وضعیت، یک حفره بین دو دهلیز و در برخی موارد بین دو بطن وجود دارد. هم نقص کامل و هم نقص جزئی را می‌توان با انجام جراحی در دوران نوزادی اصلاح کرد.

۲. نقص دیواره بین‌بطنی (VSD)

این نقص، تقریبا در ده درصد از نوزادان مبتلا به سندروم داون دیده می‌شود. در این وضعیت، حفره‌ای بین دو بطن وجود دارد. در برخی از موارد، این حفره چنان کوچک است که موجب بروز مشکلی نمی‌شود و برخی از حفره‌های کوچک خود بسته می‌شوند. حفره‌هایی که موجب بروز مشکل می‌شود را می‌توان با عمل جراحی ترمیم کرد.

۳. مجرای شریانی باز (PDA)

این مشکل در دو درصد از کودکان دچار سندروم داون دیده می‌شود. مجرایی که بالای قلب قرار دارد، پس از تولد بسته نمی‌شود و خون وارد ریه‌ها می‌شود. این مجرا با عمل جراحی بسته می‌شود.

۴. تترالوژی فالوت

حدود یک درصد از کودکان دچار سندروم داون ترکیب چهار نقص قلبی را دارند که منجر به ایجاد حفره‌ای بزرگ بین بطن‌ها و باریک شدن عروق خونی می‌شود که از قلب به ریه‌ها می‌روند. ترمیم این نقص شامل یک عمل جراحی قلب باز پیچیده است. تصحیح کلی این نقص در نوزاد مشکل است بنابراین اغلب ترمیم موقتی انجام می‌شود تا زمانی‌که کودک بزرگ‌تر شود.

محدودیت‌های آنتی‌بیوتیکی

وقتی کودک دچار نقص قلبی تحت هرگونه عملی قرار می‌گیرد، موارد احتیاطی باید رعایت شود، مخصوصا جایی که باکتری ممکن است وارد جریان خون شود. برای مثال سوراخ کردن یا کشیدن دندان ممکن است به باکتری‌های موجود در دهان اجازه دهد که وارد جریان خون شده و موجب عفونت قلب شوند (اندوکاردیت). وجود هرگونه نقص قلبی را باید به دندانپزشک اطلاع داد تا درصورت نیاز از آنتی‌بیوتیک‌ استفاده کند.

سندرم داون

آینده افراد دارای سندروم داون

افراد دارای سندروم داون، در درجه‌ی اول انسان‌هایی دارای شخصیت منحصربه‌فرد هستند. آن‌ها شاید برخی از ویژگی‌های مرتبط با این بیماری را داشته باشند اما کاملا منحصربه‌فرد هستند و باید به‌عنوان یک فرد با آن‌ها رفتار شود. حصول اطمینان کامل از درمان برابر و دسترسی به خدمات، یکی از مسائلی است که تمام خانواده‌های دارای کودک مبتلا به سندروم داون با آن روبه‌رو هستند. این افراد هر روز در حال تلاش هستند تا به همان اهداف مشابهی که دیگر افراد جامعه دارند، برسند: خودکامرواسازی، افتخار در رسیدن به موفقیت، مشارکت در فعالیت‌های اجتماعی و فرصت و چالش دستیابی به ظرفیت کامل فردی. با ظهور جنبش‌های خودحمایتگری و خود تعیین‌گری، افراد دارای سندروم داون به‌طور فعالانه در حال مشارکت در تعریف زندگی خود و گفت‌وگو درباره‌ی نقش‌های خود در جامعه و خانواده هستند.

افراد دارای سندروم داون به‌طور منظم در فعالیت‌های اجتماعی شرکت می‌کنند: در مدرسه، مشاغل، عبادتگاه‌ها و مکان‌های تفریحی. برخی با خانواده، برخی با دوستان یا مستقل زندگی می‌کنند. آن‌ها روابط بین فردی ایجاد می‌کنند و برخی از آن‌ها ازدواج می‌کنند. حتی در موارد نادری افراد دارای سندروم داون دارای فرزند می‌شوند.

بسیاری از افراد دچار سندروم داون اکنون حدود ۵۰-۶۰ سال یا بیشتر عمر می‌کنند. امید به زندگی این افراد در سال ۱۹۲۹ برابر ۹ سال و در سال ۱۹۵۸ برابر ۱۵ سال بود. این امر عمدتا ناشی از پیشرفت در مراقبت‌های سلامتی، جراحی‌های مدرن و پیشرفت در کیفیت زندگی است.

باردار شدن زنان دچار سندروم داون به‌علت ناهنجاری‌های تخمدانی و مشکلاتی که در تولید تخمک دارند، تقریبا غیرمعمول است. اگرچه موارد کمیابی نیز بوده که زنان دارای سندروم داون مادر شده‌اند.

حفظ سلامتی افراد مبتلا به سندروم داون

به‌علت بهبود در روش‌های تشخیص و درمان مشکلات مرتبط با سلامتی، افراد دچار سندروم داون اکنون زندگی‌های طولانی‌تر و سالم‌تری دارند. توصیه می‌شود که وضعیت سلامتی افراد مبتلا به سندروم داون به‌طور مرتب مورد بررسی قرار گیرد. بررسی‌های سلامتی توصیه شده برای افراد مبتلا به سندروم داون عبارت‌اند از:

بررسی‌های جسمی و توسعه‌ای: این بررسی‌ها باید هنگام تولد، ۶ هفتگی، ۶ تا ۸ ماهگی و سپس به‌طور سالیانه انجام شود تا رشدونمو کودک مورد نظارت قرار گیرد. قد و وزن نیز باید به‌طور مکرر با استفاده از نمودار رشد سندروم داون مورد بررسی قرار گیرد.

آزمایش بینایی (تست بینایی): از بدو تولد، وضعیت بینایی باید مورد ارزیابی قرار گیرد. یک معاینه‌ی چشم‌پزشکی باید در سال دوم زندگی و سپس در ۴ سالگی انجام شود. آزمایش‌های بینایی استاندارد حداقل هر دو سال یک بار و در کل دوره‌ی زندگی توصیه می‌شود.

آزمایش شنوایی: غربالگری نوزادی و سپس بررسی وضعیت شنوایی بالافاصله پس از ۶ ماهگی و نه دیرتر از ۱۰ ماهگی باید انجام شود. باید یک ارزیابی شنوایی کامل بین ماه‌های ۱۵ تا ۱۸ ماهگی انجام شود و تا ۵ سالگی، به‌طور سالیانه تکرار شود. پس از آن، وضعیت شنوایی باید حداقل هر دو سال یک بار مورد بررسی قرار گیرد.

بررسی دندان‌ها: در ۲ سالگی و سپس هر ۶ ماه یک بار انجام شود.

آزمایش عملکرد تیروئید: آزمایش بررسی عملکرد تیروئید باید در زمان تولد (آزمایش گاتری) و سپس در ۱۲ ماهگی برای بررسی آنتی‌بادی‌های تیروئید انجام شود. سپس این آزمایش حداقل هر دو سال یک بار و در افراد دارای آنتی‌بادی‌های تیروئید سالی یک بار انجام می‌شود.

واکسیناسیون: کودکان دارای سندروم داون باید برنامه‌ی واکسیناسیون معمول را دنبال کنند. از آن‌جایی که سیاه سرفه در کودکان مبتلا به سندروم داون می‌تواند بسیار شدید باشد، واکسیناسیون علیه این بیماری توصیه می‌شود.

مراقبت دندانی: دندان‌های کودکان دارای سندروم داون دیرتر درمی‌آید. درمورد این کودکان نیز مراقبت از دندان اهمیت دارد و باید به‌محض ظاهر شدن اولین دندان‌ها مسواک زدن آغاز شود. همچنین باید از مصرف بیش از حد قند پرهیز شود. مکمل‌های فلوراید نیز باید طبق روال معمول مصرف شود.

درمان‌های بحث‌برانگیز سندروم داون

معمولا با مراقبت مناسب، سبک زندگی سالم و رضایت‌بخشی حاصل می‌شود، اما سندروم داون درمان نمی‌شود. برخی از روش‌های درمانی، ادعای درمان سندروم داون را دارند اما مواردی از این روش‌های درمانی ممکن است هم ازنظر جسمی و هم ازنظر روانی، حتی برای کودک مضر باشد. ارزش هر طرحی باید مورد سنجش قرار گیرد و با توصیه‌ی متخصص انجام شود. درصورت اتخاذ هرگونه برنامه‌ی درمانی، باید اهداف مشخص و بازه‌ی زمانی واضح باشد. اگر پیشرفت‌های مورد نظر حاصل نشد، درمان باید متوقف شود.

مکمل‌های مواد معدنی و ویتامینی: توصیه شده است که به کودکان دارای سندروم داون مکمل مواد معدنی و ویتامینی داده شود (گاهی در مقادیر بسیار بالا). شواهدی که نشان می‌دهند چنین مکمل‌هایی برای این کودکان سودمند هستند، قطعی نیستند. حتی شواهدی وجود دارد که نشان می‌دهد سطوح بالای مکمل‌های ویتامینی و مواد معدنی می‌تواند مضر باشد.

جراحی پلاستیک: گاهی برای تغییر ظاهر و طبیعی‌تر کردن چهره‌ی کودکان دارای سندروم داون جراحی انجام می‌شود. خطر همراه‌با هر عمل جراحی، باید دربرابر مزایای ممکن آن مورد سنجش قرار گیرد. بیشتر والدین آمادگی قرار دادن کودک تحت بیهوشی عمومی و جراحی برای اهداف زیبایی را ندارند. برخی از کارشناسان به والدینی که قصد دارند این عمل را انجام دهند، توصیه می‌کنند که تا زمانی‌که فرزند آن‌ها به اندازه‌ی کافی بزرگ شود که خود بتواند درمورد این مسئله تصمیم گیرد، صبر کنند. اگر آن‌ها از ظاهر خود راضی هستند، از آن‌ها نخواهند که آن را تغییر دهند. اگر از ظاهر خود شاد نیستند، باید مانند دیگر نوجوانان و بزرگسالان جوان مورد احترام قرار گیرند و به آن‌ها اجازه داده شود تا تصمیمی آگاهانه بگیرند.

سندرم داون

کودک در حال رشد

پیش‌بینی پتانسیل کودک در زمان تولد غیرممکن است. ارتباط معنی‌داری بین تعداد ویژگی‌های جسمی مرتبط با سندروم داون و توانایی ذهنی کودک مبتلا وجود ندارد. مراقبت‌های بهداشتی شرح داده شده در قسمت قبل می‌تواند این امر را تضمین کند که چیزی مانع از قابلیت یادگیری کودک نشود. حتی نقایص خفیف شنوایی و بینایی (درصورت عدم رسیدگی) می‌توانند در توانایی یادگیری، کسب مهارت‌های زبانی و توسعه مهارت‌های اجتماعی کودک تداخل ایجاد کنند.

کودکان دارای سندروم داون اغلب دارای مشکلات خاصی درزمینه‌ی درک و بیان زبان هستند. برای کمک به حل این مسئله، رویکرد روش ارتباط کلی پیشنهاد می‌شود که شامل استفاده از ژست‌ها، حالات چهره و سیستم‌های ارتباطی نمادین است.

یک محیط خانه‌ی امن و دوست داشتنی بسیار مهم است. کودکان دارای سندروم داون در کل زندگی پیشرفت کرده و یاد می‌گیرند، و همچون کودکان دیگر مهارت‌های آن‌ها افزایش می‌یابد (با سرعت پایین‌تری). پیشرفت دریادگیری همیشه یکنواخت نیست. یک کودک ممکن است به‌نظر برسد که در یک مرحله‌ی خاص گیر کرده است، اما در جریان چنین مراحلی، مهارت‌های جدید در حال محکم شدن هستند و پایه‌هایی برای مرحله‌ی بعد ایجاد می‌شود.

سندرم داون

رشد

تغییرات بلوغ در نوجوانان دارای سندروم داون تقریبا در همان سنینی رخ می‌دهد که در دیگر نوجوانان اتفاق می‌افتد و دارای الگوهای مشابهی است. اگرچه در نوجوانان دارای سندروم داون، تغییرات زمانی رخ می‌دهد که فرد هنوز از نظر فکری کاملا بالغ نشده است و این امر می‌تواند موجب بروز مشکلاتی شود.

افزایش سطوح هورمون‌ها در خون در جریان دوره‌ی بلوغ موجب ایجاد تغییراتی در رفتار می‌شود. نوجوانان ممکن است خسته‌تر، بی‌حوصله‌تر، تحریک‌پذیرتر و سرکش‌تر شوند. مشاوره‌ی حرفه‌ای می‌تواند طی این دوره کمک‌کننده باشد و مانع از ریشه‌دار شدن این مشکلات رفتاری شود.

مراقبت‌های بهداشتی دوره‌ی نوجوانی

رژیم غذایی: بلوغ، دوره‌ی رشد سریع است و با افزایش اشتها نیز همراه است. اگر نوجوان دارای مشکل چاقی باشد و ازنظر عملکرد تیروئید مورد بررسی قرار گرفته باشد و در این زمینه مشکلی وجود نداشته باشد، مصرف کالری باید طبق توصیه‌ی یک متخصص تغذیه کاهش پیدا کند.

ورزش: انجام ورزش و شرکت در فعالیت‌های ورزشی برای نوجوانان دارای سندروم داون، هم ازنظر کنترل وزن و هم ازنظر همراه شدن با نوجوانان هم سن و سال اهمیت دارد. در گذشته، معمولا نوجوانان دارای سندروم داون ارتباط چندانی با هم سن و سالان خود نداشته و بیشتر با دوستان والدین خود معاشرت می‌کردند. شرکت در فعالیت‌های ورزشی و تفریحی همراه‌با افراد گروه سنی خود باید بخش مهمی از برنامه‌ی رشد آن‌ها باشد تا این افراد بتوانند مهارت‌های اجتماعی خارج از منزل را یاد بگیرند.

کسب بینش درمورد زندگی: طی دوره‌ی نوجوانی، تمام نوجوانان درمورد خود، بدن و عواطف خویش مسائلی را می‌آموزند. والدین و مربیان باید زمانی را به بحث درباره‌ی روابط جنسی، رفتارهای مناسب و نامناسب، بهداشت و خطرات حاصل از سوء استفاده جنسی اختصاص دهند.

والدین نیز باید فرایندی را که از کودکی آغاز می‌شود، ادامه دهند و به فرد مبتلا مهارت‌های مورد نیاز برای زندگی مستقل را بیاموزند. با آموزش تدریجی و ایجاد فرصت‌های یادگیری، فرد جوان ناگاه با موقعیت‌های غیرمنتظره مواجه نخواهد شد و خطرات مرتبط با این وضعیت به حداقل خواهد رسید.

سندروم داون

بزرگ‌سالی

اگر به نوجوانان قدری استقلال داده شود و آن‌ها گاهی اوقات خارج از منزل بمانند، جدایی آن‌ها از خانه آسان‌تر خواهد شد و از میزان وابستگی این افراد کاسته می‌شود. افراد بالغ مبتلا به سندروم داون، در تمام طول عمر دارای قابلیت یادگیری مهارت‌های جدید هستند. دربرخی از کشورها دوره‌های آموزشی متعددی برای آموزش مهارت‌های مختلف به آن‌ها وجود دارد.

افراد بالغ مبتلا باید به‌طور مرتب تحت معاینه قرار گیرند. توصیه می‌شود که وضعیت بینایی و تیروئید هر دو سال یک بار بررسی شود. شنوایی باید هر دوسال یک بار و در صورت نیاز بیشتر مورد بررسی قرار گیرد. دندان‌ها نیز هر ۶ ماه یک بار معاینه شوند.

سندرم داون

پیری

این تصوری اشتباه است که افراد دارای سندروم داون زودتر از موعد پیر می‌شوند. شواهد محکمی در تأیید این حرف وجود ندارد. افرادی که زندگی کامل و فعالی دارند، معمولا به آهستگی پیر می‌شوند، درحالی‌که افرادی که فعالیت جسم کمی دارند یا تحرک ذهنی ندارند، سریع‌تر پیر می‌شوند. افراد بزرگ‌سال دارای سندروم داون نیز مشکلات معمول مرتبط با پیری مانند ضعف بینایی، شنوایی و قابلیت حرکت را تجربه می‌کنند. علاوه‌بر‌این، برخی از مشکلات درمیان افراد مسن این گروه شیوع بیشتری دارد:

زوال عقل: زوال عقل علت‌های مختلفی دارد. یکی از شایع‌ترین علت‌ها، بیماری آلزایمر است. افراد مبتلا به سندروم داون نسبت‌به این نوع زوال عقل حساسیت بیشتری دارند اما در عین حال ممکن است به فرم‌های دیگر زوال عقل نیز دچار شوند.

تشنج: تشنج در اثر بروز اختلال در فعالیت الکتریکی سلول‌های مغز رخ می‌دهد. فردی که به‌طور مکرر دچار تشنج می‌شود، مبتلا به صرع است. تشنج در کودکان دارای سندروم داون نادر است (۱ تا ۲ درصد) اما در سن ۵۰ سالگی، ۱۰ درصد از این افراد دچار تشنج خواهند شد. این وضعیت با دارو قابل کنترل است.

کروموزوم

پژوهش‌های در حال انجام درمورد سندروم داون

درمورد علل اصلی سندروم داون اطلاعات کمی در دست است، اما پژوهش‌هایی در این زمینه در حال انجام است. برخی از پژوهشگران درحال مطالعه‌ی تقسیم میوز در رابطه با سندروم داون هستند. یک حوزه‌ی دیگر از پژوهش، کار روی تهیه‌ی نقشه‌ی ژنتیکی دقیقی از کروموزوم شماره ۲۱ است که در آن مناطق ژنی که در بروز مشکلاتی مانند بیماری قلبی مادرزادی و بیماری آلزایمر نقش مهمی دارند، شناسایی شوند.

دانش زیادی درمورد نحوه‌ی یادگیری در این کودکان به دست آمده است و روانشناسان و مربیان در حال بررسی این موضوع هستند که چگونه کودکان مبتلا به سندروم داون مهارت‌های جدید را کسب می‌کنند. شواهدی وجود دارد که نشان می‌دهد ممکن است روش یادگیری کودکان مبتلا به سندروم داون و روش یادگیری کودکان طبیعی یکسان نباشد. هدف چنین پژوهش‌هایی کشف این موضوع است که کدام روش‌های آموزشی برای کودکان دارای سندروم داون از همه مناسب‌تر است. پژوهشگران به‌دقت نحوه‌ی عمل افراد را در مکان‌های مختلط (که افراد دارای سندروم داون در تماس با دیگر افراد جامعه قرار می‌گیرند)، در مدارس و در جامعه مورد بررسی قرار می‌دهند. هدف از این کار ایجاد محیط‌ها و حمایت‌هایی است که کودکان و افراد بالغ دارای سندروم داون را قادر سازد تا به بهترین نحو از مهارت‌های هوشی و اجتماعی خود استفاده کنند و زندگی کامل‌تری داشته باشند.

نظرات